Хирурги пересадили нижегородцу его же собственный зуб вместо импланта

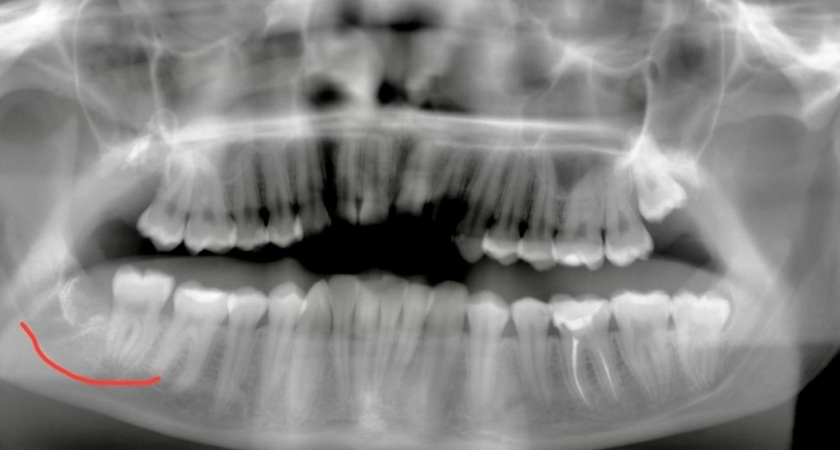
фото Алексея Никонова В Нижнем Новгороде хирурги Областной стоматологической поликлиники на Покровке успешно провели операцию по пересадке собственного зуба пациенту.

фото Алексея Никонова

В Нижнем Новгороде хирурги Областной стоматологической поликлиники на Покровке успешно провели операцию по пересадке собственного зуба пациенту. Этот метод называется аутотрансплантацией и представляет собой альтернативу традиционной имплантации. Об этом сообщает Алексей Никонов .

Не всегда необходимо ставить имплант, иногда на место удаленного разрушенного зуба можно пересадить наш же зуб мудрости. Так произошло и с пациентом Областной стоматологической поликлиники на Покровке. Ему вместо удаленного разрушенного зуба хирурги пересадили его же зуб мудрости.

Такой альтернативный метод имплантации называется аутотрансплантацией - когда человеку пересаживают его же ткани, в данном случае зуб.

Васильева Анна

Последние новости

«Войдет в историю». Нижегородский губернатор — об увольнении тренера «Торпедо»

Нижегородский губернатор: «Ларионов войдет в историю ХК „Торпедо“» Губернатор Нижегородской области Глеб Никитин считает, что Игорь Ларионов, уже бывший главный тренер ХК «Торпедо», войдет в историю клуба.

«Секс не будет прежним». Как нижегородкам восстановить либидо после родов

Гинеколог Кондюров посоветовал нижегородкам не затягивать с сексом после родов Только что родившим нижегородкам посоветовали не отказываться от половой жизни больше, чем на полгода после родов.

Названы точные даты снегопадов в апреле в Нижнем Новгороде

Снегопады накроют Нижний Новгород в апреле Нижегородцы недолго радовались +17 градусам и яркому солнцу за окном.

Потребительский кредит без боли: как не стать жертвой долговой ямы

Как взять кредит с умом и не пожалеть об этом спустя пару месяцев

Здесь вы найдете свежие и актуальные новости в Пятигорске, охватывающие все важные события в городе

Комментарии (0)

Добавить комментарий

Ваш email не публикуется. Обязательные поля отмечены *